長期熬夜,警惕眼底“爆炸”
發布日期:2018-01-08 作者:陳翔
眼睛的哪個部位視力敏銳?
我猜你還不知(zhī)道。
這個視力敏銳的地方,顔色有點黃,它在視網膜上,像一個斑塊,是(shì)視錐細胞集中的地方,于是(shì)有了一個名字,叫“黃斑”。

幾種情況會損害黃斑健康
精神緊張,長期熬夜
中青年人如果精神太緊張、過度勞累、經常熬夜,這個部位就會發生一個“小爆破”——脈絡膜毛細血管張力過大,色素上皮緊密連接處的地方出了問題,造成脫離(lí),即是(shì)中性型漿液型脈絡膜視網膜病變,簡稱“中漿”。

人老了,黃斑變性
老年人随着年齡增長,黃斑區血管産生異常,黃斑出血、滲出,就損害了視功能,這是(shì)很常見(jiàn)的緻盲性老年眼病。
眼外傷、高度近視等
外傷、激光筆、打球強烈撞擊到眼睛等也會造成黃斑損害或裂孔;由于高度近視造成黃斑裂孔或劈裂等引起嚴重影響視功能的黃斑病變等。另外,遺傳、環境、飲食、用眼都可能誘發黃斑異常。
中南大學愛爾眼科學院碩士生導師葉波教授說,有兩個方法可以讓我們及早得知(zhī)黃斑的健康狀況。
方法1:平時做體檢,可以用阿姆斯勒方格表,盯着中間點看,表格會不會變形、缺損,這是(shì)目前簡單的方法

方法2:五十歲以上老年人定期做眼底OCT檢查,就可以知(zhī)道黃斑區有哪些早期的病變了。

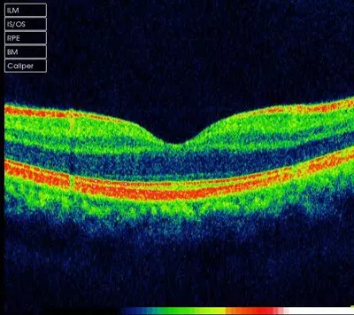
正常黃斑的眼底OCT圖像
預防黃斑病,不能迷信營養品
· 黃斑這麽重要,市面上也有一些營養品号稱可以保護黃斑,是(shì)否有用呢?葉波教授提醒:不可盲信。日常生活中,一些小細節就能保護黃斑:
· 多吃“黃色食物”,如玉米、蛋黃等來補充葉黃素,對黃斑有好處,但(dàn)不必過于迷信葉黃素含片等營養品,因爲這隻能起到輔助、保健的作用
· 抽煙對黃斑病的損害很大,奉勸大家盡量少抽煙
· 陽光強烈時出門應戴太陽鏡,對着眼睛直射可能損害黃斑區的感官細胞
· 盡量避免長時間在黑暗中使用手機等電子産品
· 激光筆千萬不能對着人的眼睛照射,後果很嚴重!
-
防治糖尿病性視網膜病變,你要這樣做!
2019-11-19
-
與“蚊”共舞 飛蚊症愛惹年輕人
2016-08-04
-
眼前總有“蚊子”飛?問題可能出在眼睛裏
2016-08-04



